Behandlungen
Diagnostik und chirurgische Behandlung von Erkrankungen der Zähne, des Zahnhalteapparates, des Kieferknochens und der Mundschleimhaut.
- Einfache und komplizierte operative Zahnentfernungen
- Wurzelspitzenresektionen
- Zystenbehandlungen
- Behandlung von Infektionen des Kieferknochens
- Sanierung dentogener Kieferhöhleninfektionen
- Abszessbehandlungen
- Präprothetische Chirurgie zur Verbesserung des Prothesenlagers
- Behandlung von Risikopatienten („Blutverdünner“, Bestrahlung/Chemotherapie bei Tumorleiden)
- Gewebliche Diagnostik und Behandlung von Schleimhauterkrankungen
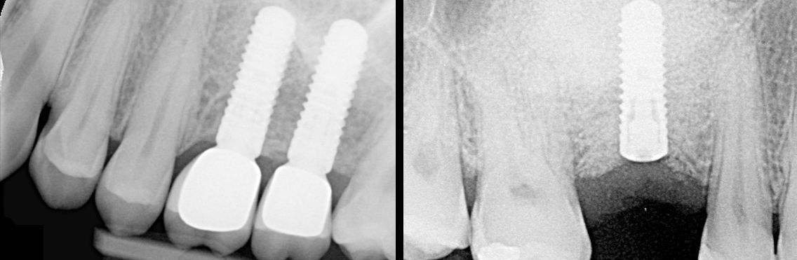
Zahnimplantologie

Rekonstruktion der Kaufähigkeit durch künstliche Zahnwurzeln (Implantate) aus Titan oder Keramik.
Wenn erforderlich, knöcherne Rekonstruktion des „verlorengegangenen“ Kieferknochens, um eine Implantation zu ermöglichen.
- Implantation
- Knochenaufbau in Lokalanästhesie oder Narkose mit Knochenersatzmaterialien und/oder Knochentransplantation vom:
- Unterkiefer (Weisheitszahnregion, Kinn)
- Beckenkamm
- Schädelkalotte
- Sinusliftoperation (Knocheneinlagerung mit Erhöhung des Kieferhöhlenbodens)
Kieferorthopädische Chirurgie

Nach Zuweisung durch den behandelnden Kieferorthopäden, zur Korrektur von Funktion und Ästhetik und zur Unterstützung der weiteren apparativen Behandlung:
- Korrektur von Lippen- und Zungenbändchen
- Insertion von Miniimplantaten im Gaumenbereich oder sogenannten „Knochenankern“ im zahntragendem Kieferbereich zur Fixation von kieferorthopädischen Apparaturen
- Operative „Anschlingung“ von im Knochen persistierenden Zähnen zur kieferorthopädischen Einreihung
- Extraktionsbehandlung mit kieferorthopädischer Zielsetzung
- Operative Behandlung von Kieferfehlstellungen, wenn diese durch reine Kieferorthopädie nicht behandelbar ist
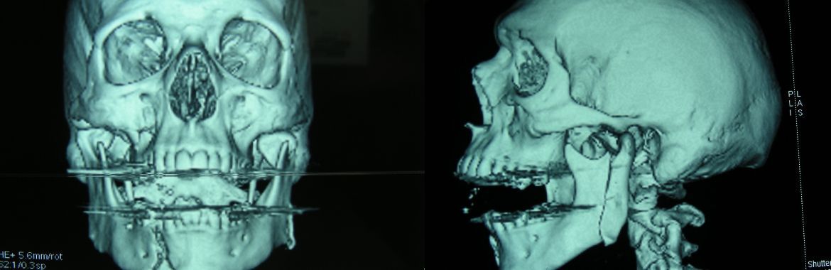
Traumatologie

Behandlung von Weichteilverletzungen/ Frakturen im Mund-, Kiefer-, Gesichtsbereich ambulant in der Praxis oder im Rahmen der Belegarzttätigkeit am Spitalzentrum Biel in Narkose.
- Wundversorgungen
- Zahnreposition, -replantation und -schienung
- Unterkieferfrakturen
- Mittelgesichts-, Augenbodenfrakturen

Diagnostik und Behandlung von „Neubildungen“ im Bereiche der Mundschleimhaut, der Kopf- und Gesichtshaut, einschliesslich Rekonstruktion.
- gewebliche und röntgenologische Abklärung unklarer Neubildungen (Gewebsbiopsie)
- Entfernung von gutartigen Neubildungen
- zeitlich versetzte Rekonstruktion entstandener Knochendefekte und Implantatversorgung bei Zahnverlusten.
Bei der Diagnose eines malignen (bösartigen) Tumors erfolgen diverse Vorabklärungen vor Ort und die anschliessende Überweisung an die Spezialisten des Inselspitals Bern.
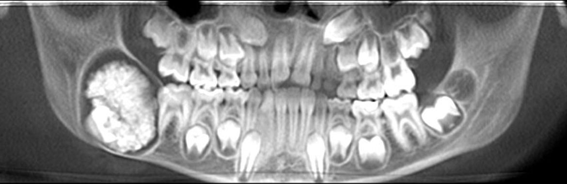
Weisheitszahnentfernungen
Spezialisierte und routinierte Entfernung auch von schwierig verlagerten und retinierten Weisheitszähnen. Die Entfernung aller vier Weisheitszähne kann meist in einer Sitzung erfolgen und dauert in der Regel unter einer Stunde. Wir sind es gewohnt, dabei sehr atraumatisch und schmerzfrei zu arbeiten, so dass die Beeinträchtigungen postoperativ minimiert sind und eine schnelle Rehabilitation gewährleistet werden kann.
Wir beraten Sie gerne bezüglich einer Leistungspflicht der Krankenkasse und erstellen ein Kostengutsprachegesuch. Auch ausserhalb der Praxisöffnungsszeiten sind wir für unsere Patienten bei Fragen und Problemen erreichbar.
Die familiären Weiterempfehlungen unserer Patienten für diesen Eingriff sind für uns eine hohe Anerkennung.
Digitale Volumentomographie

Die digitale Volumentomographie ist ein präzises röntgenologisches 3-D Verfahren zur Darstellung knöcherner Strukturen des gesamten Kopfbereiches. Je nach Fragestellung können auch kleinere Ausschnittsdarstellungen vorgenommen werden. Die Technik gleicht einer konventionellen Übersichtsaufnahme, wobei hier jedoch der Mund geschlossen bleiben kann. Die generierten Aufnahmen gleichen denen eines konventionellen CT, jedoch bedingt die Aufnahmetechnik für zahnärztliche Fragestellungen eine Reihe Vorteile:
- Wahlweise höhere Auflösung
- Geringere Strahlenbelastung
- Weniger Metallartefakte ( Aufnahmequalität mindernde Störungen) durch Zahnfüllungen und prothetische Rekonstruktionen
Ihr Zahnarzt oder Arzt überweist Sie häufig mit einer speziellen Fragestellung wie
- Klärung des Knochenangebots vor einer Implantatversorgung
- Verlauf des Unterkiefernerven vor Weisheitszahnentfernungen
- Lage und Prognose retinierter Zähne (Kieferorthopädie)
- Frakturausschluss
- Zystenausdehnung
- unklare Schwellungen-, Schmerzen
- anatomische Situation der Nasennebenhöhlen (ORL)
Zuweiser: Patienten können direkt über die Homepage zur digitalen Volumentomographie angemeldet werden.
Schlafapnoebehandlung
Bei nachgewiesener Schlafapnoe kann die Anpassung einer Protrusionsschiene erfolgen. Auch die operative Behandlung mittels einer sogenannten Umstellungsosteotomie ist möglich. Die Zusammenarbeit mit anderen Fachdisziplinen ist hier essentiell.
Belegarzttätigkeit am Spitalzentrum Biel
Aufgrund einer guten Zusammenarbeit mit allen Fachdisziplinen des Spitalzentrums kann im Bedarfsfall die Betreuung unserer Patienten auch direkt stationär oder ambulant am Spitalzentrum Biel erfolgen. Die operative Versorgung wird von kieferchirurgischer Seite durch unser Team direkt am Spital vorgenommen. Dort erfolgt durch den Operateur die Nachbetreuung, im Rahmen täglicher Visiten, bis zur Entlassung. Wir schätzen die kollegiale und fachübergreifende Kooperation seitens Chirurgie, Kinderchirurgie, Anästhesie, Infektiologie, HNO und Pflege.

Sie wünschen persönliche Informationen?
Vereinbaren Sie noch heute einen Termin!
